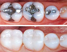
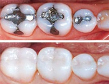
Керамические вкладки - это своеобразные микровставки в полость зуба, отличающиеся очень высокой прочностью и эстетикой, идентичной здоровой эмали зуба. Следует отметить также безупречный вид зуба отреставрированного керамической вкладкой, взглянув на который не каждый стоматолог сможет заметить реставрацию, не говоря уже о пациенте.
Вкладка, имеющая гораздо более плотную структуру, не содержащую микропоры, может создаваться из керамики, композита, полимерного стекла, золота и других гомогенных материалов. Она очень плотно прилегает к стенкам дефекта зуба, не оставляя щелей, что делает невозможным развитие вторичного кариеса.
Если зуб разрушен больше чем на треть, и особенно если сохранена его жизнеспособность, то керамическая вкладка - это идеальное средство. На первом этапе, как и для изготовления пломбы, удаляются все разрушенные ткани и снимается слепок, который отправляется в лабораторию. По слепку техник изготавливает зубную вкладку. Специальным клеем ее соединяют с тканью зуба.
Преимущества керамических вкладок:
- Керамические вкладки обладают большей прочностью, чем пломбы, которые изготавливаются непосредственно в зубе. На зубы с большими полостями изготавливаются вкладки, а не большие пломбы, потому, что последние легко ломаются. Керамические вкладки сильно упрочняют зуб.
- Керамические вкладки устойчивы к внешним воздействиям, они не изменяют со временем цвет, даже под действием сигарет и кофе.
- Вкладки могут комбинироваться с корневыми штифтами (корневыми протезами) для восстановления сильно разрушенного зуба.
- Керамика гораздо прочнее обычных пломб и обладает большей износостойкостью.
- Зубные керамические вкладки идеальны в эстетическом плане. Керамика обладает полупрозрачностью, что полностью имитирует цвет настоящего зуба.
- Вкладка точно повторяет анатомическую форму зуба (бугорки и канавки). За счет изготовление вне полости рта ей удается придать совершенную форму.
Таким образом, керамические вкладки - являются более совершенной и современной альтернативой коронкам и пломбам.
Изготовление керамических вкладок проводится в два посещения, на первом снимается слепок, а на втором устанавливается вкладка. Вкладка имеет, не требующую полировки, отглазурованную поверхность, в отличие от пломбы, требующей полирования каждые 6 месяцев.

