Нейлоновые протезы — это протезы на основе нового прочного эластичного прозрачного материала, получившие широкое распространение за счёт эстетических свойств.
Современное оборудование
В прошлом большинство коронок и мостовидных протезов были металлокерамическими протезами. Эти реставрации, изготовленные на каркасе из металлического сплава, выглядели монохромными ...
Керамические вкладки - это своеобразные микровставки в полость зуба, отличающиеся очень высокой прочностью и эстетикой, идентичной здоровой эмали зуба. Следует отметить также безупр...
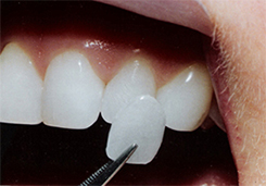
Виниры — это композитные, керамические или фарфоровые пластинки, установленные на вестибулярную поверхность передних зубов. Виниры позволяют в кратчайшие сроки восстановить даже те ...
Протезы Квадротти изготовлены из мягкого нейлона – он выполняет роль десневой основы, к которой крепятся прочные коронки – искусственные зубы. Кроме того, протезы имеют и крючки, ко...
Наша зуботехническая лаборатория – спутник стоматологического центра. Это место, где изготавливается все то, что устанавливается в рот пациенту. Самые главные люди здесь – зубные те...
Мы можем констатировать, что данный процесс является по своим принципам глубокой очисткой полости рта. Мы избавляем зубы от налета, убираем зубной камень. По сути, нашим зубам возвр...
Все технологии отбеливания зубов можно разделить на две основные группы. В первую входят методы непрофессионального отбеливания, во вторую - профессионального. При этом профессиональным...
В нашей стоматологической клинике мы используем только самые лучшие технические разработки для лечения, диагностики и протезирования зубов.
Внутриротовая (интероральная) видеокамера...
По сравнению с традиционными галогеновыми полимеризационными лампами, использование диодных ламп гарантирует пациенту значительные преимущества.
Основными причинами удаления зубов являются осложненный формы кариеса – пульпит и периодонтит.
Прибор - Апекслокатор
Если воспалительный процесс зашел так далеко, что затронул нерв...
Использование в нашем центре ультрасовременной бинокулярной лупы позволяет продлить жизнь зубов, ранее считавшимися «безнадежными». С помощью многократного увеличения стало возможны...
Стоматология 21 века невозможна без качественного эндодонтического лечения зубов. Наиболее качественной считается механическая обработка корневых каналов зубов (после удаления «...
Успех лечения у стоматолога зависит от быстрой и правильной поставновки диагноза. Стоматология в настоящее время не обходится без такого элемента как визиограф. До недавнего времени...
Технологии отбеливания зубов
При отбеливании зубов обычно воздействуют перекисью водорода (H2O2) на дентин зуба (дентин — это твердая ткань зуба, расположенная под слоем эмали). Перекись водород...
Технологии обнаружения кариеса
Эффективный метод обнаружения кариеса под эмалью без препарирования – флуоресценция. Под красным светом кариозные ткани начинают светиться другим цветом, и таким образом специалист ...
